Introduction to NMDAR Encephalitis

NMDAR Encephalitis is a rare and often misunderstood autoimmune disease that affects the brain. It occurs when the body’s immune system mistakenly attacks the N-methyl-D-aspartate (NMDA) receptors in the brain, leading to a range of symptoms that can be severe and debilitating. The disease was first identified in 2007, and since then, researchers have made significant progress in understanding its causes, symptoms, and treatment options.
Causes and Risk Factors

The exact causes of NMDAR Encephalitis are still not fully understood, but research suggests that it is often triggered by the presence of a tumor, usually an ovarian teratoma in women. In some cases, the disease may be triggered by a viral infection, such as herpes simplex virus. The risk factors for NMDAR Encephalitis include: * Being female, as the disease is more common in women * Having a history of cancer or autoimmune disorders * Being of childbearing age * Having a family history of autoimmune disorders
Symptoms of NMDAR Encephalitis

The symptoms of NMDAR Encephalitis can vary widely from person to person, but they often progress through several stages. The initial symptoms may include: * Flu-like symptoms, such as fever, headache, and fatigue * Psychiatric symptoms, such as anxiety, agitation, and hallucinations * Seizures, which can be a prominent feature of the disease * Memory problems and confusion As the disease progresses, symptoms may become more severe and can include: * Speech difficulties, including slowed or slurred speech * Motor symptoms, such as weakness, tremors, and rigidity * Autonomic dysfunction, including changes in heart rate, blood pressure, and body temperature * Cognitive decline, including difficulties with attention, concentration, and problem-solving
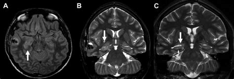
Diagnosis and Treatment

Diagnosing NMDAR Encephalitis can be challenging, as the symptoms are often non-specific and can be similar to those of other conditions. A diagnosis is typically made based on a combination of: * Clinical evaluation, including a physical exam and medical history * Laboratory tests, including blood tests and cerebrospinal fluid analysis * Imaging studies, such as MRI or CT scans Treatment for NMDAR Encephalitis usually involves a combination of: * Immunotherapy, such as corticosteroids, intravenous immunoglobulin, or plasmapheresis * Tumor removal, if a tumor is present * Symptomatic treatment, including medications to manage seizures, psychiatric symptoms, and other symptoms
📝 Note: Early diagnosis and treatment are critical for improving outcomes in NMDAR Encephalitis. If you or someone you know is experiencing symptoms, it is essential to seek medical attention promptly.
Recovery and Prognosis

The prognosis for NMDAR Encephalitis varies widely depending on the severity of the disease and the effectiveness of treatment. Some people may experience a full recovery, while others may be left with persistent symptoms or disability. Factors that can influence the prognosis include: * The severity of the initial symptoms * The presence of a tumor or other underlying condition * The effectiveness of treatment * The individual’s overall health and resilience
| Stage | Symptoms | Treatment |
|---|---|---|
| Initial | Flu-like symptoms, psychiatric symptoms, seizures | Immunotherapy, symptomatic treatment |
| Progressive | Speech difficulties, motor symptoms, autonomic dysfunction | Immunotherapy, tumor removal, symptomatic treatment |
| Recovery | Cognitive decline, residual symptoms | Rehabilitation, supportive care |

Conclusion and Future Directions

NMDAR Encephalitis is a complex and multifaceted disease that requires a comprehensive and multidisciplinary approach to diagnosis and treatment. While significant progress has been made in understanding the disease, there is still much to be learned. Further research is needed to: * Improve diagnostic techniques, including the development of more sensitive and specific tests * Develop more effective treatments, including new immunotherapies and tumor therapies * Enhance patient outcomes, including improved rehabilitation and supportive care
In summary, NMDAR Encephalitis is a rare and often misunderstood autoimmune disease that affects the brain. Its symptoms can be severe and debilitating, but early diagnosis and treatment can improve outcomes. By continuing to advance our understanding of the disease and develop more effective treatments, we can improve the lives of individuals affected by NMDAR Encephalitis.
What is NMDAR Encephalitis?

+
NMDAR Encephalitis is a rare autoimmune disease that affects the brain, causing a range of symptoms including psychiatric symptoms, seizures, and cognitive decline.
What are the symptoms of NMDAR Encephalitis?

+
The symptoms of NMDAR Encephalitis can vary widely, but may include flu-like symptoms, psychiatric symptoms, seizures, speech difficulties, and motor symptoms.
How is NMDAR Encephalitis diagnosed?

+
NMDAR Encephalitis is diagnosed based on a combination of clinical evaluation, laboratory tests, and imaging studies.
What is the treatment for NMDAR Encephalitis?

+
Treatment for NMDAR Encephalitis usually involves a combination of immunotherapy, tumor removal, and symptomatic treatment.
What is the prognosis for NMDAR Encephalitis?

+
The prognosis for NMDAR Encephalitis varies widely depending on the severity of the disease and the effectiveness of treatment.